抗人N端脑利钠肽前体(前脑利钠肽CAS 124584-08-3、114471-18-0)抗体
描述
抗原 CAS(化学文摘登记)号
124584-08-3、114471-18-0
中文名称
抗人N端脑利钠肽前体抗体
中文别称
N末端脑利钠肽原抗体; proBNP抗体; N末端脑利钠肽原抗体; proBNP抗体; NPPB抗体; NPPB抗体
宿主
鼠; 羊; 兔
反应性
所有种类
抗体类型
一抗
抗体共轭物
未结合生物素 APC; 碱性磷酸海角社区(AP); FITC; HRP; 聚乙烯
特异性
产生针对NT-ProBNP的抗体。 选择它是因为它具有识别NT-ProBNP的能力。
保存条件
经常使用保存在4℃;
在冷冻箱-20℃长期保存一年,活性不会降低损失;
避免重复解冻冷冻。
应用
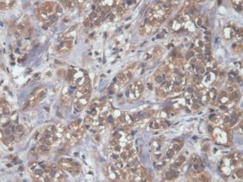
海角社区联免疫吸附测定(ELISA);免疫组织化学(IHC);蛋白质印迹法(免疫印迹试验WB); 免疫荧光(固定细胞)(IF/ICC); 免疫沉淀(IP); 细胞ELISA(cELISA); 免疫测定(IA); 免疫细胞化学(ICC)
性质
外观类型
液体或者冻干粉
使用方法
使用前应将抗体溶液轻轻混合
克隆类型
单抗/多抗
同种型
IgG
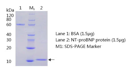
相关图谱




安全信息
危险品运输编号
非危险品
德国水污染物质分类清单(WGK Germany)
3
Sales Outside China
This product is sold exclusively through our sales company Watson International Ltd outside China, and please click the link below for details